iin.jpg iin4.jpg machi2.jpg yu1.jpg
当院は老若男女を問わず、出来る限りリラックスして治療を受けて頂けるよう環境作りを心掛けております。
虫歯・歯周病治療はもちろんのこと、ブラッシング指導を含めた予防治療にも重点をおき、地域の皆様の健康増進に貢献していきたいと考えております。
何卒、よろしくお願いいたします。

Infomation

医)幸悠会 小樽イースト歯科クリニック
・歯科・小児歯科・歯科口腔外科

所在地

〒047-0013 小樽市奥沢1丁目22-17

診療時間

月~金   9:30〜19:30(最終受付19時)

昼休み 12:30〜14:00

休診日

土・日・祝日・年末年始

電話番号

0134-21-6480(FAX:21-6481)

Kohyukai

医療法人社団 幸悠会 

医)幸悠会は、北海道と沖縄県にてクリニックを運営しており、各医院と連携を取り、質の高い医療を地域差無く提供出来るよう、日々努力しております。
                    理事長 長野琢也

Implant

 
 

インプラント治療

インプラントとは、顎の骨に人工歯根となる金属を埋め込み、その金属を土台にして、天然の歯と同じような人工の歯を取り付ける治療方法です。

埋め込む金属に生体との親和性が高いチタンが使われる事が多く、チタンは長年の臨床研究でインプラントの素材として最も安全であり、また顎の骨としっかり結合することが確認されています。

天然歯のような見栄えだけでなく、これまでの入れ歯やブリッジでは満足することが難しかった「食べる・話す」という機能も回復できます。
インプラントは周りの歯を傷つけず、残った歯への影響が少ないため、自分の歯を多く残せます。

また顎の骨がやせるのを防げる効果もあります。
食べ物のカスが挟まったり、留め金が見えるといったこともないので、衛生面や見た目からも、天然歯自分の歯と同じようにきれいで美しい状態を保てます。
お気軽にお問い合わせ下さい。


一本の欠損を補うインプラント

一本の欠損であれば入れ歯を使うケースが多いかと思います。
入れ歯は他の歯に負担をかけてしまう対処法。
 
インプラントは他の歯に負担をかけず、天然歯のように復元させる事が可能です。


ブリッジによる複数欠損の対応

複数本欠損している部分にインプラントでブリッジを作り、連結歯を形成する対処方です。
 
複数欠損の場合、入れ歯に比べ更なる快適性を得られます。


総入れ歯とは比べものにならない快適性

全ての歯を失った場合の総入れ歯。
グラつきや入れ歯との間に物が挟まるなど不満も出ることが多いです。
 
インプラントはしっかりと密着固定されるため、入れ歯に比べ堅いものも噛みやすく、噛むことによる振動、感触も伝わりやすく、自然に近い咀嚼が可能です。

Invisalign

invi_02.jpg invi_01.jpg

綺麗な歯並びに白く輝く歯

清潔感があり、これほど好印象を与えることはありません。
矯正治療はハードルが高く気軽にできるものではないと思われがちですが、当院で提供するマウスピース矯正は今までの矯正の概念を壊します。
ご相談だけにでも是非お越しください。
 
インビザライン矯正は透明なマウスピースを使用する矯正。
従来からあるワイヤー式矯正には踏み切れなかった方も多いと思います。
・目立つワイヤー
・手間のかかる清掃
この二大問題を解決。
 
3Dスキャナーにて5ヵ月後の歯並びを無料でシミュレーション。
ビフォア&アフターを自分の目で確認してからはじめれます。

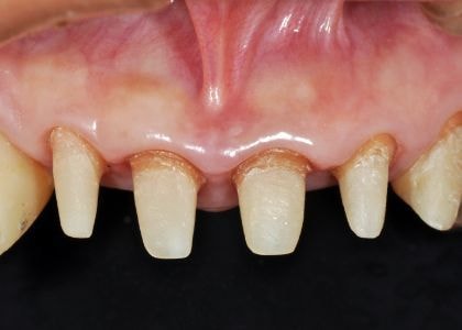
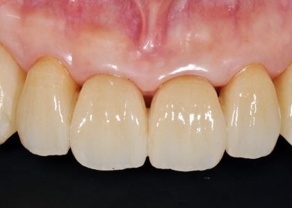
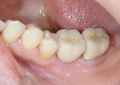
All Ceramics

cera_(2).jpg c9.jpg c10.jpg cru.jpg cru1.jpg

内外共にセラミック素材で製作したもので、天然歯に近い自然な感じで見た目もよいです。
被せもの全体がガラス(ニケイ酸リチウムガラスセラミック)を主成分にしたセラミックにて出来ているもので、とても透明感が高く色調もきれいです。
本来の天然歯と同じか、それ以上の色調・形態を再現します。
金属を使用しないため金属アレルギーの心配はいりません。
・強度に優れているため、噛み合わせの強い方や、くいしばり
・歯ぎしりをする方に有効
・非常に見た目が良く、ほとんど変色しない
・汚れ(プラーク)が付きにくい
・歯と分子レベルで強固に接着するため、治療した部分から虫歯になりにくい
・価格がジルコニアセラミックより安い

当院は予約優先制となっております。
事前のご予約をお勧めいたします。
また、急なトラブルはもちろんの事、口腔内で何かございましたら、お電話にてお気軽にご相談下さい。